Osis Health Logo

We will contact you as soon as possible

We have received your form. We will contact you as soon as possible.

Why Osis Health

In Istanbul, one of the most important tourism destinations in the world, we enjoy providing health and tourism services especially for your oral and dental health needs.

We welcome you with our experienced doctors and agencies in our contracted health care providers, especially in our own clinic. As your individual representative we meet all your needs with the most affordable price options before, during and after your treatment.

 

  • Professional Team
  • Fast Treatments
  • Reasonable Prices
  • Sector Experience

Health Tourism

Health tourism is the travel of a person from the country where he/she is located to another country for the purpose of protecting or improving health. Health tourism is a comprehensive term that covers travel for the implementation of treatments performed in the medical field.

The person who makes this trip is called a health tourist and the person benefits from many areas of health with this trip. The person who goes to a different region from his country for treatment benefits from the equipment of experienced and expert doctors in the country he/she is going to. Medical tourism is a very wide area that has recently started to revive in many countries. Health tourism in Turkey includes the services preferred by medical tourism candidates from all over the world.

Popular Treatments

Treatments Journey

Airport

OSIS HEALTH creates the safest process by picking up patients coming to Turkey from the airport with special VIP vehicles. It also provides them to benefit from quality health services.

Vip Transfer

Our company, which plans all communication processes for you before coming to Turkey, organizes your transfer transactions in advance and in a planned way so that you do not face any problems.

Luxury Hotels

We provide accommodation in luxury hotels in order to please our patients and make them feel comfortable like at home.

Osis Health

OSIS HEALTH, thanks to its world-class service mentality, allows you to get service in Turkey’s best clinics.

Fast Treatments

Foreign patients who come to Turkey for health tourism can be treated immediately without waiting for a long time.

Best Clinics in İstanbul

We offer medical services in our high quality modern hospitals in Istanbul and ensure that all your health and aesthetic wishes are fulfilled before we send you home.

Reasonable Prices

The cost of health tourism in Turkey is much lower than in Europe. OSIS Health provides service at more affordable costs.

İstanbul Tour

Osis Health organizes this tour for you. We offer all out to make your journey memorable. Istanbul is waiting to be discovered before turning home as fully recovered.

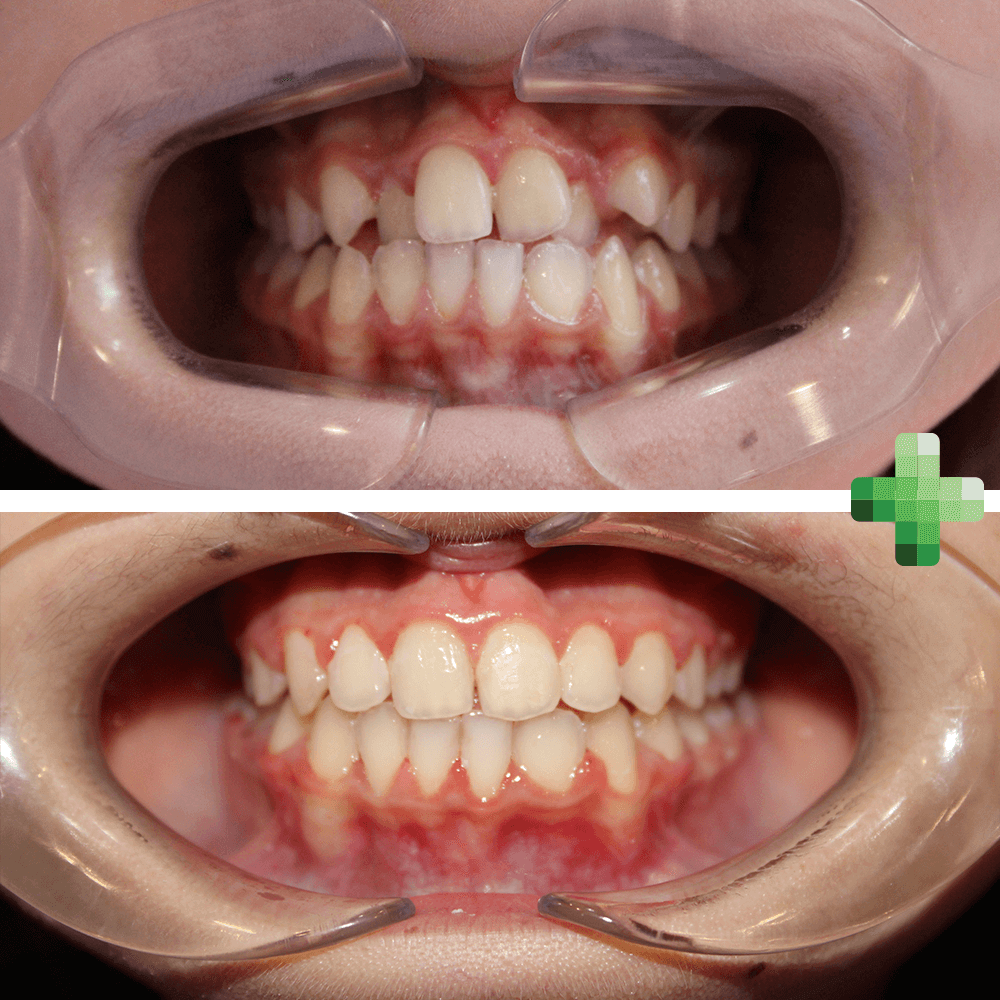
Before & After

Before-after15
Before-after14
Before-after13
Before-after12
Before-after11
Before-after10
Before-after9
Before-after8
Before-afteren
osisba-4
osisba-3
osisba-2
Before-after4
ba 3
ba2
ba1

FOR YOUR WELL-BEING OSIS HEALTH

Dentislife
eray
emp1

Testimonials

I couldn’t be happier with my results. The service was nice and I felt very safe with the team I was working with.

Cherly

Hi this is Tiago. I have recently done my teeth by Osis Health what can I say, I can’t stop smiling! It is a lot more than I expected.

Tiago

The way we were treated by all the staff was incredible if you are considering a trip please contact Osis Health for a 5 star treatment.

Joe

Send us a message

If you need to speak to us about a general query fill in the form below and we will call you back within the same working day.

We have received your form. We will contact you as soon as possible.

Frequently Asked Questions

Blog

How to Whiten Your Teeth Professionally

How to Whiten Your Teeth Professionally

Teeth whitening is the process of whitening some organic and inorganic substances formed in the visible part of the tooth surface with the help of gel...

Things to Consider for Healthy Teeth

Things to Consider for Healthy Teeth

Dental health is very important for the physical and psychological health of the person. However, dental care, which requires great care...

We'd Love to Hear From You